Az All-On-6 ára Magyarországon
Egy All-On-6 fogászati implantátum átlagos költsége Magyarországon 6000 euró. Az Ön igényeitől függően az ár 4 000 és 8 000 euró között változhat.
| Eljárás | Ár Magyarország |
|---|---|
| All-On-6 | 6000 € |
Mi az az All-On-6?
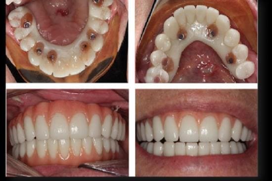
Az All-on-6 fogászati implantátumok a fogsorok kiváltására szolgálnak, és hat implantátum beültetését teszik lehetővé a felső és az alsó állkapocsba. Általában négy implantátumot az állkapocs elülső részébe, kettőt pedig a hátsó részébe helyeznek be. Ezek az ínyszövet színével megegyező színű akril alapra kerülnek, míg a koronák műgyantából, cirkónium-dioxidból vagy porcelánból készülhetnek.
Az All-On-6 Magyarországon egy olyan végleges fogpótlás, amely lehetővé teszi fogainak teljes körű helyreállítását. A kezelés egy teljes fogsort biztosít (az alsó és felső állcsontra helyezve), amelyet hat fogászati implantátum támaszt alá.

Az implantátumokat enyhe, 30-45 fokos szögben helyezik el, ami növeli az implantátum szilárdságát. Ez azt is lehetővé teszi, hogy az állcsontvesztésben szenvedők számára az implantátumok beültetése időigényes és drága csontátültetés nélkül történjen.
Hogyan működik az All-on-6?
Íme az összes lépés, amit a tökéletes mosoly eléréséhez meg kell tennie.

1. Első konzultáció, CT-vizsgálat és röntgenfelvétel
A fogorvos felméri az Ön szájának és állkapcsának általános állapotát, és elvégzi a szükséges vizsgálatokat vagy röntgenfelvételeket. Ezután, ha az eljárás mellett dönt, a fogorvos lenyomatot vesz a szájáról. Ezeket azután elküldi a laboratóriumba, ahol elkészítik a személyre szabott protéziseket – az implantátumokra rögzítendő állkapocs- és fogrészeket vagy hidakat.
2. Érzéstelenítés
A műtét előtt helyi érzéstelenítést kap, hogy az egész folyamat fájdalommentes legyen. Ezután gondosan megtisztítjuk a száját, hogy eltávolítsuk a baktériumokat és a sérült szöveteket.
3. Implantátumok behelyezése Magyarországon
Négy lyukat fúrnak az állkapocs elején és kettőt hátul. Az implantátumokat ezután 30 és 45 fok közötti szögben helyezik be. A legtöbb esetben az új fogai egy napon belül rögzülnek az implantátumokra.
Kezdetben ideiglenes implantátumokat kaphat, amelyek hat-kilenc hónapig tartanak. Ez egy elővigyázatossági intézkedés, hogy elkerülje a zúzódásokat, és hogy az implantátumokra a gyógyulás során kisebb nyomás ne nehezedjen. Amint szája teljesen meggyógyult, fogorvosa beülteti a végleges implantátumokat.

Az All-on-6 alternatív kezelései
Magyarországon az All-On-6 implantátumoknak két járható alternatívája van: a fogpótlás, a hagyományos fogászati implantátumok, az All-On-4 és az All-On-8
Fogpótlás
A műfogsorok akril alapból készülnek, amely rózsaszínű, és az ínyt borítja. A műfogsor felső részét a fogak alkotják, amelyek porcelánból vagy műgyantából készülnek, és a szájpadlást fedik. Idővel az ínye természetes módon megváltozik, és előfordulhat, hogy a műfogsort át kell alakítani vagy újra kell bélelni. Teljes cseréje 5-8 évente ajánlott.
Fogászati implantátumok
A fogászati implantátumokat akkor lehet választani, ha egy vagy több fogat kell pótolni. A fogászati implantátumoknak 4-6 hónapos gyógyulási időre van szükségük, hogy az implantátum összeforrjon az állcsonttal, mielőtt a korona és a felépítmény rögzítésre kerül. Bizonyos esetekben az implantátum beültetése előtt hosszadalmas csontátültetésre lehet szükség. A fogászati implantátumok drágák, és a csontátültetés növelheti a végső költségeket. A műtét hossza és a gyógyulási idő sokkal hosszabb, mint az All-on-6 implantátumok esetében.

All-on-4 implantátumok
Az All-on-4 implantátumok pontosan ugyanúgy működnek, mint az All-on-6 implantátumok Magyarországon. Az egyetlen lényeges különbség, hogy az első esetben négy, míg a második esetben hat implantátumot kap a fogív alátámasztására. Az All-on-4 olyan páciensek számára ajánlott, akiknek nincs akkora csonterősségük, mint az All-on-6-ra jogosultaknak.
A műtét menete Magyarországon
A műtét egy-két órát vesz igénybe, és Ön végig helyi érzéstelenítésben vagy általános érzéstelenítésben részesül.
A fogorvosi team gondoskodik arról, hogy Ön kényelmesen érezze magát, és a műtét megkezdése előtt válaszol minden kérdésére. Mint már említettük, az implantátum beültetése előtt elvégzik a szükséges foghúzásokat, és alaposan kitisztítják a száját.

A beavatkozás után a szája kissé duzzadtnak és fájdalmasnak érezheti magát, ami általában vény nélkül kapható fájdalomcsillapítókkal kezelhető. A felépülési idő általában minimális: a páciensek a műtét után néhány nappal már újra folytatják szokásos tevékenységeiket, és egyes esetekben már közvetlenül utána képesek szilárd ételeket fogyasztani.
Az All-On-6 implantátumok árai világszerte
Az első hat páciens fogászati implantátumainak ára az elmúlt években stabilizálódott. A minőségi külföldi fogorvosokhoz való hozzáférésnek köszönhetően a kezelés az utóbbi években sokkal megfizethetőbbé vált. Az alábbiakban az All-on-6 fogászati implantátumok árai találhatók különböző helyszíneken. Felhívjuk figyelmét, hogy ezek az árak nem rögzítettek és nem garantáltak, és számos tényezőtől függően páciensenként változhatnak.
| Ország | Ár |
|---|---|
| Törökország | 5800 euró |
| Magyarország | 6000 euró |
| Mexikó | 6700 euró |
| Thaiföld | 11000 euró |
Vegye igénybe az INGYENES értékelést!
Kérésre és
az Ön részéről semmilyen kötelezettség nélkül.
100% ingyenes tanácsadás. Elemezzük az Ön helyzetét, igényeit és elvárásait. És megbecsüljük a szükséges költségvetést: Repülés + szálloda + taxi + kezelés.
A folyamat felett mindenkor teljes mértékben Ön rendelkezik. Teljes lelki nyugalom.