A Hollywood Smile ára Magyarországon
Egy Hollywood Smile műtét átlagos költsége Budapesten, Magyarországon 2100 €. Az Ön igényeitől függően az ár 1 900 € és 2 300 € között változhat.
| Eljárás | Ár Magyarország |
|---|---|
| Hollywoodi mosoly | 2100 € |
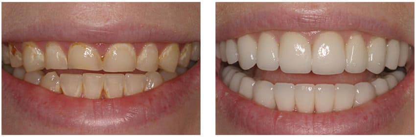
Mi az a Hollywood Smile?
A Hollywood Smile az Ön mosolyának teljes átalakítása, azaz mindkét állkapocs teljes rekonstrukciója fogászati implantátumok segítségével, valamint fogászati burkolatokkal az összes fogon, vagy legalábbis mindkét állkapocsban látható összes fogon, esetenként a premolárisokig bezárólag.
A Hollywood Smile in Hungary Budapesten az esztétikai fogászati kezelések közül talán a legnépszerűbb. A foghomlokzat burkolása kiváló gyógymód számos csúnya fogászati állapotra, többek között:
- Elszíneződött fogak
- Kopott fogak
- Letört fogak
- Hiányzó fogak
- Rosszul álló fogak

A hollywoodi Smlie mosolyért Magyarországon kétféle foghéjburkolat létezik. We fit a high-quality economy veneer that costs just €300 each. Ezek porcelán héjak, amelyek a fogak elülső részére illeszkednek, hogy a hollywoodi mosolyt hozzák létre – elfogadható áron.
A furnér hatékony módja a fogak színének, formájának, méretének és akár hosszának megváltoztatására.
Hogyan működik az eljárás?
Először lenyomatot veszünk a fogairól, majd viaszból megmodellezzük a furnérokat. Formát készítünk, és az olvasztott porcelánt nyomás alatt préseljük ki, hogy elkészüljön a végleges furnér.
Ez az eljárás mindössze öt munkanapot vesz igénybe, mivel minden egyes furnér az Ön számára méretre készül. Ennek az időnek a nagy részét azonban a fogtechnikai laboratórium veszi igénybe. Így lesz némi szabadideje, hogy élvezze e híres fürdőváros létesítményeit.

A fogászati furnérok elszíneződnek?
Nem. Rendkívül ellenállóak a foltosodással szemben, és idővel nem romlanak, még akkor sem, ha dohányfüst, vörösbor vagy kávé éri őket.
A magyarországi Hollywood Smile minden bizonnyal jobb és tartósabb kozmetikai eredményt ad, mint a fehérítés. A porcelán, amelyből készülnek, olyan finom, hogy áttetsző és ugyanúgy visszaveri a fényt, mint a természetes fogzománc, így a furnérok természetesnek és esztétikusnak is tűnnek.
A Hollywood Smile minősége Magyarországon
Csak a legjobb minőségű porcelánfurnérokat választjuk ki, de nem minden furnér egyforma.
Néhány magyar fogorvos Budapesten olcsóbb, de gyengébb minőségű laminált vagy kompozit héjakat kínál. Az ezekkel a termékekkel kapcsolatos vizsgálatok aggodalomra adnak okot, beleértve a tapadási hibákat, az elszíneződést és a természetes fogakkal való rossz színmegfeleltetést. A kompozit burkolat általában sokkal olcsóbb, mint a porcelán burkolat, de nem tart olyan sokáig, és gyakran kell cserélni. Idővel általában drágábbnak bizonyulnak.

A többi “márkájú” furnér meglehetősen korlátozottan alkalmazható.
Ezen okok miatt a magyarországi Hollywood Smile-nál kizárólag kiváló minőségű termékeket használunk a mosoly eléréséhez. Minden egyes általunk felhelyezett furnér egyedileg készül a saját laboratóriumunkban, hogy biztosítsuk a kiváló illeszkedést, a megfelelő színt, méretet és formát minden egyes páciens mosolyához.
Mi történik, ha a foghomlokzat burkolata elhasználódik?
A foghomlokzat Budapesten történő felszerelése a fog előkészítését jelenti a természetes zománc vékony rétegének eltávolításával. Miután a furnér felhelyezése megtörtént, az eredeti állapotot már nem lehet visszaállítani. Ha a furnér lecsorog vagy megreped, akkor ki kell cserélni.
A felhelyezést követően a furnér színe nem változtatható meg. Ha azt tervezi, hogy a maradék fogait fehérítteti, akkor a legjobb, ha ezt még a furnér felhelyezése előtt megteszi, hogy a szín megegyezzen.
Ha sokakhoz hasonlóan Ön is összeszorítja és csikorgatja a fogait, a furnér nem biztos, hogy jó választás, mivel ez károsíthatja a furnért.
Fogászati burkolatok VS fogászati koronák
A foghéj nem minden esetben jelent megfelelő megoldást. Csak elülső fogakra alkalmasak, és csak akkor, ha azok egészségesek és jó állapotban vannak.
- Ha problémái vannak a moláris fogakkal
- Ha fogai erősen tömöttek
- Ha rossz állapotban vannak
Akkor valószínűleg inkább teljes koronára van szüksége.

Attól függően, hogy milyen típusú koronát választ, ezek egy kicsit olcsóbbak lehetnek, de általában több munkával jár egy új korona felhelyezése, így ez a lehetőség azt jelenti, hogy a kezelési idő a Hollywood Smile Magyarországon általában egy hétre csökken.
Vegye igénybe az INGYENES értékelést!
Kérésre és
az Ön részéről semmilyen kötelezettség nélkül.
100% ingyenes tanácsadás. Elemezzük az Ön helyzetét, igényeit és elvárásait. És megbecsüljük a szükséges költségvetést: Repülés + szálloda + taxi + kezelés.
A folyamat felett mindenkor teljes mértékben Ön rendelkezik. Teljes lelki nyugalom.