A fogkorona ára Magyarországon
Egy fogkorona átlagos ára Budapesten, Magyarországon 200 €. Az Ön igényeitől függően az ár 150 eurótól 250 euróig terjedhet.
| Eljárás | Ár Magyarország |
|---|---|
| Fogászati korona | 200 € |
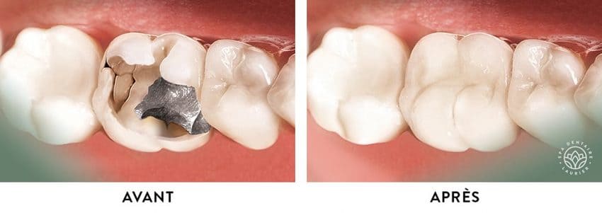
Mi az a fogászati korona?
A fogászati korona Magyarországon Budapesten egy olyan borítás, amelyet a fogra helyeznek, hogy megvédje a meggyengült fogat a töréstől vagy a további romlástól. A fogkorona Magyarországon egy elszíneződött vagy eldeformálódott fog pótlására vagy a fog védelmére is használható. Végül, egy új korona egyszerűen egy régi, elhasználódott vagy hibás korona cseréjéhez szükséges.

Fogászati koronák Magyarországon
Általában két találkozót vesz igénybe, hogy fogorvosa elkészítse a koronát. Az első találkozón a fogorvos megformázza és előkészíti a fogat, hogy a korona megfelelően felhelyezhető legyen.
Ezután lenyomatot vesz a fogról, és az előkészített fog védelmére ideiglenes koronát helyez be. Ezt a lenyomatot ezután elküldik egy fogtechnikai laboratóriumba, ahol elkészítik a személyre szabott végleges koronát.
A második találkozón a végleges korona felszerelésére kerül sor. Ha a korona illeszkedése, formája és színe kielégítő, fogorvosa megkezdi a végleges bebetonozást.

a fogkorona 4 típusa Magyarországon
Fémhez olvasztott porcelán (PFM) koronák
A fémhez olvasztott porcelán korona olyan korona, amelynek alapanyaga fém, de porcelán bevonattal van ellátva, így olyan fehér, mint az Ön fogai. A porcelánnal olvasztott korona ára Magyarországon 150 €.
Cirkónium koronák
A cirkónium korona CAD/CAM technológiával készül a sikeres megjelenés és a tökéletes illeszkedés érdekében. Leggyakrabban esztétikai okokból alkalmazzák. A cirkónium koronákat gyakrabban használják a frontális területen. Egy cirkónium korona ára Magyarországon 200 euró.
E-max porcelán koronák Magyarországon
A teljes porcelán (préselt kerámia) koronák a legjobb választás, ha a korona kivételes esztétikai követelményeknek felel meg, mivel ez az anyag képes a lehető legtermészetesebben utánozni a természetes fogzománcot. Kizárólag koronákhoz használják. A korona anyaga valamivel vastagabb, mint a cirkónium, ezért az előkészítés során egy kicsivel több foganyagot kell elreszelni. Egy e.max porcelán korona ára 300 euró.
Kérésre aranykorona is rendelhető, de ennek ára az arany valós árától és a lefedendő fog méretétől függ.
Bármelyik koronatípust is választja, a végleges korona elkészültéig egy ideiglenes korona kerül felhelyezésre, amely védi a preparált fogat, és biztosítja a normál beszéd- és rágási funkciókat.

Melyik korona a leghatékonyabb megoldás?
Vegye figyelembe az alábbi tényezőket
- Mennyi pénzt szeretne koronára költeni?
- Melyik fogat érdemes koronázni?
- Milyen állapotban vannak a koronázandó fog mellett lévő fogak?
- Milyen az általános szájhigiéniája?
Ne felejtsen el konzultálni budapesti fogorvosával, mielőtt bármilyen döntést hozna, de megpróbálunk segíteni néhány tippel:

A teljes porcelán koronák a legszebbek, de egyben a legdrágábbak és a legkényesebbek is. Kiváló megoldást jelentenek a frontfogak esetében. Hiányzó fogak pótlására azonban nem használhatók, ahogyan híd sem készülhet belőlük. Fémmentesek, így ha Ön allergiás bármilyen fémre, akkor tökéletes választás lehet az Ön számára. Kicsit törékenyebbek, mint a fémmel olvasztott porcelán koronák, ezért a moláris koronák nem ajánlottak. A koronáknak egy kicsit vastagabbnak kell lenniük, ezért több foganyagot kell eltávolítani, miközben a fogat előkészítik a koronához.
A cirkónium koronák biokompatibilisek és nagyon tartósak. Ezért ideálisak minden fogra, akár az elülső, akár a moláris régióban található fogakra. Ez a fajta korona a lehető legkevesebb foghúzást igényli. Nagyon kemény anyag, ezért vékonyabb rétegekben is jól működik. Mivel kemény anyagról van szó, hosszabb hidak is készíthetők belőle. Kevésbé drága, mint a porcelán koronák, de drágább, mint a fémmel olvasztott porcelán koronák.

A fémmel olvasztott porcelán koronák jó megoldást jelentenek azok számára, akik a cirkónium és a tömör porcelán koronáknál gazdaságosabb megoldást keresnek, és akik nem szenvednek fémallergiában. Ennek a koronának a legnagyobb előnye a tartósság, mivel a fém vagy nikkelmentes aranyötvözetből készült váz hosszú ideig használható. A keret porcelánbevonatának köszönhetően esztétikus, de kevésbé természetes hatású, mint a cirkon. Ezért gyakrabban használják a moláris régióban. A fémváznak köszönhetően tökéletesen alkalmazkodik a preparált foghoz.
Az aranykoronák tartanak a legtovább az összes koronatípus közül, ha Ön megfelelő szájhigiéniát tart fenn. Az aranykoronák arany vázzal rendelkeznek, és porcelánréteggel vannak bevonva. Ez 100%-ban allergiamentes, és tökéletesen illeszkedik a preparált foghoz, így nem áll fenn a szuvasodás veszélye.
Foghéj vagy korona Magyarországon?
Ha azon gondolkodik, hogy porcelán koronára vagy furnérra van-e szüksége elülső fogaira, akkor nyilván új mosolyt szeretne. Orvosi vizsgálat nélkül nem olyan könnyű megmondani, hogy mi az ideális megoldás, de van néhány iránymutatás, ami segíthet Önnek. Amikor a tökéletes megjelenés érdekében az elülső fogakra szánt koronákról van szó, a cirkónium vagy porcelán anyagok ajánlottak. A legegyszerűbben azonban úgy dönthet, ha lefoglal egy ingyenes, kötelezettség nélküli konzultációt egy budapesti klinikán Magyarországon.

A koronák a következő esetekben ajánlottak:
- A fogak erősen elszíneződtek.
- Ha nagyobb tömések vannak a fogában.
- Ha sok fogzománcot vesztett.
- Ha már van koronája, amit csak koronával lehet pótolni.
- Ha nagyobb foghézagokat szeretne betömni a fogai között.
- Ha az Ön fogai erősen el vannak csúszva.
- Ön csikorgatja a fogait.
- Foga gyökérkezelésen esett át
- Fogának alakját vagy helyzetét jelentősen korrigálni kell.
Jó hír, hogy a furnér és a korona kombinálható, de nem ugyanazon a fogon. A koronák köztudottan invazívabb beavatkozásnak számítanak, mint a furnérok, ezért kevesen részesítik előnyben a koronázást. A porcelán koronák és a furnérok kombinálhatók, mivel ugyanabból a kerámia alapanyagból készülnek, ami azt jelenti, hogy ha valakinek egy vagy két gyökérkezelt foga van, akkor ezeket a fogakat koronázni kell, de a szomszédos egészséges fogakra lehet furnér, és senki sem fogja észrevenni a különbséget!

Felhasznált anyagok
- Korona és híd anyaga :
- Fémötvözet porcelán bevonattal
- Porcelánbevonatú aranyötvözet
- Nikkel-titán ötvözet kerámia bevonattal
- Cirkónium, alumínium-dioxid kerámia bevonattal
Posztoperatív problémák
- Az ideiglenes betétek, hidak vagy koronák felülete érdes vagy nem elég sima lehet.
- A fog érzékenyebb lehet
- Az íny néhány napig érzékeny lehet
- Az ideiglenes betétek, hidak vagy koronák túlterhelés miatt kihullhatnak.
- A kezelés után a fog érzékeny lehet a hidegre vagy a melegre, és csökkenhet az okkluzális funkciója.

A műtét utáni utókezelés
A koronákhoz vagy hidakhoz való hozzászokás hetekig vagy akár hónapokig is eltarthat. Többször is szükség lehet kiigazításra és magasságkorrekcióra. A beillesztés után az eleven fogak hidegre és melegre érzékenyek lehetnek, és a rágási funkció csökkenhet, de ez egy idő után elmúlik. Ez az időszak az egyéntől függ. Fél év is eltelhet, mire a tünetek megszűnnek.
Ennek oka lehet, hogy a pulpa körül kialakul egy védő dentinréteg, amely a szervezet védi a fogakat. Mivel ez több hónapot is igénybe vehet, kérjük, hogy legyen türelmes.
Vegye igénybe az INGYENES értékelést!
Kérésre és
az Ön részéről semmilyen kötelezettség nélkül.
100% ingyenes tanácsadás. Elemezzük az Ön helyzetét, igényeit és elvárásait. És megbecsüljük a szükséges költségvetést: Repülés + szálloda + taxi + kezelés.
A folyamat felett mindenkor teljes mértékben Ön rendelkezik. Teljes lelki nyugalom.