A fogászati implantátum ára Tunéziában
Egy fogászati implantátum átlagos költsége Tunéziában 320 €. Az Ön igényeitől függően az ár 200 € és 350 € között változhat. Az eljárást helyi érzéstelenítésben végzik, és 20-40 percig tart. A tartózkodás időtartama 4-7 nap. Az ár tartalmazza az érzéstelenítést, a műtétet és a gyógyszeres kezelést. A végeredmény azonnal látható.
| Easyimplant® fogászati implantátum | 320 € |
| Ankylos® fogászati implantátum | 610 € |
| Strausmann® fogászati implantátum | 750 € |
| Fémkerámia korona | 150 € |
| Cirkónium-dioxid korona | 250 € |
Mi az a fogászati implantátum?
A fogászati implantátum Tunéziában egy fogpótló eljárás. Ha elvesztette fogát, a fogászati implantátum biztonságos, stabil és tartós módja annak, hogy új fogat kapjon, amely úgy néz ki, úgy érzi és úgy viselkedik, mint az Ön foga.
A fogászati implantátum tulajdonképpen a pótfog gyökere, amely az állcsontba épül be. Az implantátumot az ínyhatár alatt helyezik el, hogy ne legyen látható; az implantátumhoz ezután egy rövid, az ínyből kiálló oszlopot rögzítenek, amely fölé egy koronát (műfogat) helyeznek.

Jó jelölt vagyok a fogászati implantátumokra?
A fogászati implantátumok olyan emberek számára alkalmasak, akik jó egészségi állapotban vannak, és nincs csontvesztés az állkapocsban. A csontvesztés általában akkor következik be, amikor az előrehaladott ínybetegség már az állcsontra is átterjedt.
Ez a betegség megtámadja azokat a szöveteket, amelyek a fogakat a helyükön tartják, és a fogak kihullását okozzák. Ha Ön e betegség következtében vesztette el fogát, nem valószínű, hogy állkapcsában elegendő csont lesz a fogászati implantátum befogadásához, kivéve, ha azt egy külön sebészeti eljárással, az úgynevezett csontátültetéssel újjáépítik. Bár a csontátültetés gyakori eljárás, akár egy évvel is késleltetheti a fogászati implantátum beültetését.
A dohányosok nem alkalmasak fogászati implantátum beültetésére. A dohányzás veszélyezteti a szervezet fertőzés elleni és gyógyulási képességét; csökkenti a véráramlást is, ami csökkenti a sejtekhez eljutó oxigén és tápanyagok mennyiségét.
Ha Ön továbbra is dohányzik, az implantátum különösen veszélyeztetett az első beültetéskor, de az egész élettartama alatt is az marad, ami potenciálisan az implantátum meghibásodásához vezethet.

● Tunéziában csak egyetlen fogorvosi iskola van, és ez csak a legjobb jelentkezőket veszi fel fogorvosképzésre. A képzés a nyugati országokéval megegyező szintű, ötéves tanulmányokkal, majd egyéves szakmai gyakorlattal és ezt követően szakirányú képzéssel, például az implantológia területén.
● A tunéziai fogorvosok valószínűleg tagjai olyan elismert szakmai szervezeteknek, mint például a Nemzetközi Szájsebészeti Implantológus Kongresszus (ICOI ).
● A tunéziai magánfogászati intézmények modernek és a legújabb diagnosztikai és terápiás technológiákkal felszereltek, beleértve a digitális röntgensugarakat és a 3D/CT-szkennelést.
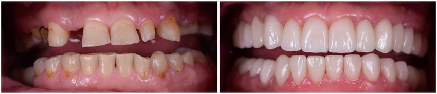
Előtte/utána fotók




Az eljárás menete
Fogászati turistaként szinte bármilyen fogászati eljárás sikeresen elvégezhető, és ez alól a fogászati implantátumok sem kivételek. Ez azonban kétlépcsős folyamat, ezért a fogászati implantációs eljárás elvégzéséhez két külön rövid utat kell terveznie Tunéziába.
Az első látogatás alkalmával a fogászati implantátumot behelyezik az állkapcsába. Ez lehet több implantátum is, az Ön igényeitől függően. Az eljárást helyi érzéstelenítésben vagy tudatos altatásban végzik. A fogorvos egy kis bemetszést ejt az ínyen.
Az ínyt visszahajtja, hogy egy lebenyt képezzen, így a fogorvos hozzáférhet az állcsonthoz. Ezután egy kis lyukat készít az állcsonton, és behelyezi az implantátumot. Az ínylebenyét visszavarrják a helyére, és miután a varratok feloldódtak, az implantátumnak nyoma sem marad a szájban.
Az implantátumot ezután legalább három hónapig – gyakran hosszabb ideig – a helyén hagyják, amely idő alatt az úgynevezett oszteointegráció során összeolvad az állcsonttal. Ennek a folyamatnak az a célja, hogy szilárd alapot biztosítson a műfog beillesztéséhez. Ez időt ad az ínyének a gyógyulásra is.
A második látogatáskor a fogorvos – általában helyi érzéstelenítésben – ismét megnyitja az ínyt, hogy az implantátumokat feltárja. Az implantátum egyik végén egy kis oszlopot (felépítményt) rögzítünk az implantátumhoz, amelynek másik vége az ínyen átnyúlik. Erre a végére egy koronát (műfogat) rögzítenek, ezzel befejeződik a fogászati implantációs eljárás.
Implantáció Összefoglaló az időkeretről:

● 1. fázis: Az első tunéziai utazás során a fogászati implantátumot behelyezik az állkapcsába. Az eljárás általában 1-2 órát vesz igénybe. Fogorvosa tanácsára néhány nap múlva hazatérhet.
● 2. fázis: Legalább három hónapot kell várnia, mielőtt visszatérne Tunéziába. Egy helyi fogorvos megerősítheti, hogy Ön és az implantátum készen áll-e (egy kis díj ellenében).
● 3. fázis: Három hónap (vagy több) elteltével térjen vissza Tunéziába, hogy a koronát beillesszék. Ehhez az utolsó fázishoz csak néhány napot kell az országban maradnia.
Gondjai vannak a megfelelő klinika kiválasztásával a legjobb áron? Koordinátorunk ingyenesen segít Önnek abban, hogy a tunéziai műtétje sikeres legyen. Kérjen tőlünk ingyenes árajánlatot.
Vegye igénybe az INGYENES értékelést!
Kérésre és
az Ön részéről semmilyen kötelezettség nélkül.
100% ingyenes tanácsadás. Elemezzük az Ön helyzetét, igényeit és elvárásait. És megbecsüljük a szükséges költségvetést: Repülés + szálloda + taxi + kezelés.
A folyamat felett mindenkor teljes mértékben Ön rendelkezik. Teljes lelki nyugalom.