A LegjobbKlinika.com tájékoztatást nyújt a törökországi Lumineers fogászati burkolatokról, és segít lefoglalni egy műtétet képzett sebészeknél. Ez a tartalom kizárólag tájékoztató jellegű, és nem helyettesíti az orvosi szakember tanácsát.
- A Lumineers fogászati burkolatok ára Törökországban
- Mi az a Lumineers foghomlokzat?
- Fotók előtte és utána
- Miért válassza a Lumineers® furnérokat?
- A Lumineers foghomlokzat előnyei
- Miben különbözik a Lumineers furnér?
- Kockázatok, szövődmények és mellékhatások
- Mennyi ideig tart?
- Mennyibe kerül a Lumineers foghomlokzat burkolása?
- Alkalmazható-e a Lumineers foghéjhéj más foghéjhéjra?
- Kiknek készültek a Lumineerek?
- Mennyibe kerül a Lumineers foghomlokzat burkolása?
- Gyakran ismételt kérdések
A Lumineers fogászati burkolatok ára Törökországban
A Lumineers® foghomlokzatburkolat átlagos ára Isztambulban, Törökországban 300 €. Az Ön igényeitől függően az ár 180 € és 390 € között változhat. Az ár a klinika hírnevétől és a furnérok mennyiségétől függően változik.
A beavatkozás helyi érzéstelenítésben történik, és egy hétig tart. Az isztambuli tartózkodás időtartama 8 nap, 4 fogorvosi látogatással. Az ár tartalmazza a műtétet és a gyógyszeres kezelést. A végeredmény azonnal látható.
| Cirkónium-dioxid foghomlokzat | 180 € |
| Kerámia foghomlokzat | 200 € |
| Emax foghomlokzat | 250 € |
| Lumineers fogászati burkolat | 390 € |
Mi az a Lumineers foghomlokzat?
A Lumineers foghéjhéjak a fogak ultravékony borítása, amely természetes hatású porcelánból vagy más csúcsminőségű anyagból készül. Rögzítésük után azonnali eredményt nyújtanak, hogy Ön ideális mosolyt kapjon. Ez az eljárás férfiak és nők számára egyaránt alkalmas.
Olyan kisebb hiányosságokat kezelnek a mosolyán, amelyek nem indokolnak nagyobb kozmetikai kezelést, és zökkenőmentesen felhelyezhetőek a meglévő fogakra.
A műtét általában sokkal kevésbé invazív, mint a porcelánfurnér felhelyezésének folyamata. A Dental Lumineers Isztambulban vagy Antalyában porcelánból, egy rendkívül erős és tartós anyagból készül.

A fogászati furnér az egyik legnépszerűbb módja a fog alakjának, megjelenésének és színének megváltoztatására. Ma a pácienseknek atovábbfejlesztett technológiáknak, anyagoknak és technikáknak köszönhetően több lehetőségük van a foghomlokzat burkolására, mint valaha.
A török fogászati klinikák a Lumineers® nevű, viszonylag új típusú foghomlokzat-kezelésre specializálódtak. Ha szeretne kozmetikai változtatásokat eszközölni mosolyán, a Lumineers furnérok ideális megoldást jelenthetnek.
A legtöbb esetben a törökországi Lumineers segítségével erős, személyre szabott mosolyt lehet létrehozni, és el lehet fedni a tökéletlenségeket. A Lumineers vékony, és a felhelyezés előtt néhány milliméternyi zománcot kell eltávolítani a fog felszínéről. A Lumineers® furnérok Isztambulban és Antalyában közvetlenül az eredeti fogszerkezetre helyezhetők.

A törökországi Lumineers® furnérok javíthatják a görbe és elferdült fogak megjelenését, fehérebb, ragyogóbb mosolyt eredményezhetnek, elrejthetik a repedt vagy letört fogat, elfedhetik a fogak közötti réseket, kényelmesen, természetesnek tűnnek, minden egyes fogra egy vékony porcelánréteg kerül, erős, tartós felülettel könnyen karbantarthatóak.
A törökországi furnérokat számos célra használják. A fogászati furnérokat a kisebb foghibák, mint például az elszíneződések, repedések, zúzódások, sőt az erősen elszíneződött vagy elszíneződött fogak vagy fogtömések tartós megoldásaként azonosítják.
A furnérokat maszkként használják, hogy elrejtsék a fogak felszínén lévő tökéletlenségeket. Törökországi fogorvosunk isztambuli és antalyai fogászati központunkban a fogászati klinikán végzett csontvizsgálat után hagyományos furnérokat, porcelán furnérokat vagy Lumineers® furnérokat kínál Önnek.
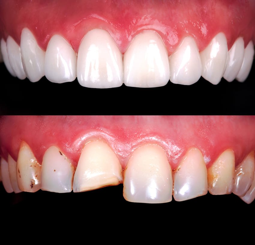
Fotók előtte és utána
Miért válassza a Lumineers® furnérokat?
A Lumineers egy egyedülálló típusú furnér. A Lumineers furnérok legfőbb előnye, hogy nem igénylik a fogfelszín ugyanolyan mértékű előkészítését, mint a hagyományos furnérok, mivel rendkívül vékonyak és gyorsan a fogfelszínre ragadnak.
A török foghomlokzati furnérok kiváló lehetőséget jelentenek mosolya gyors átalakítására kisebb fogászati hiányosságok esetén. A legjobb lehetőség mosolya javítására és esztétikailag természetesebb megjelenésére, ha felkeresi az isztambuli vagy antalyai fogászati klinikát, és a páciensnek nyújtott legjobb szolgáltatás részeként egy teljes furnérkészletet kínálnak.
Ha fogai között rés van, és zavarban érzi magát. A Lumineers egy gyors, nem invazív eljárás a fogak közötti rések eltüntetésére.
Természetes, egészséges megjelenést kölcsönözhetnek a fogaknak, és mivel nagyon vékonyak, és egy speciális, erős kötés tartja őket a helyükön (kicsit olyan, mint a szuperragasztó), nagyon kevés fogelőkészítésre van szükség.
És javíthatja a fogak színét, formáját és helyzetét. A porcelán egy adott árnyalatát lehet kiválasztani, hogy megfelelő színt adjon egy-egy elszíneződött vagy elszíneződött fog javításához, vagy általában a frontfogak (általában a felső fogak) világosításához.
A furnérral helyreállítható a letört fogak ép megjelenése. A porcelán a fog teljes elülső részét befedi, és egy vastagabb rész helyettesíti a törött részt. A furnérokat kis hézagok kitöltésére is lehet használni, ha a fogszabályozás (fogszabályozó) nem megfelelő. Ha egy fog kissé el van csúszva a vonalától, néha egy furnérral lehet a többi foghoz igazítani.
Ha rendellenességek vagy hibák vannak a fogain, a kompozit ragasztás is nagyon jól működik. A ragasztás nem tart olyan sokáig, mint a furnér vagy a Lumineer, és a színe tompa, és nem tükrözi vissza a fényt, mint a Lumineer; a ragasztás pozitívuma azonban, hogy a furnérhoz vagy a Lumineerhez képest megfizethető.
A Lumineers foghomlokzat előnyei

A Lumineers fogászati burkolatok számos előnyt kínálnak a hasonló kezelésekkel szemben. A fogászati klinikákat felkereső szorongó páciensek számára a legjelentősebb előny, hogy a Lumineers felhelyezése előtt nincs szükség a fogak fájdalmas módosítására. Maguk a burkolatok olyan vékonyak és nem feltűnőek, hogy a beszédet és az étkezést ritkán befolyásolják.
Íme néhány a Lumineers egyéb előnyei közül:
- Több mint 20 évig tartanak.
- Nem fúrják brutálisan a fog belső mechanizmusait
- Nincsenek injekciók.
- Nincs fájdalom vagy kellemetlenség.
- Csak két fogorvosi látogatás szükséges egy törökországi fogászati klinikán.
- Egyszerre több Lumineer is felhelyezhető.
- Tökéletes, gyöngyházfehér fogak, amelyek szinte úgy néznek ki, mint a természetes fogak.
- Sokkal finomabb fedés.
- Teljesen visszafordítható kezelés.
- Az eredmény egy tökéletes mosoly.
A Lumineers foghomlokzati burkolatok másik előnye, hogy nem kell ideiglenes burkolatokat viselnie, amíg a fogtechnikai laboratóriumban a végleges burkolatok lemarására vár.
A hagyományos foghéjhéjakra vonatkozó első időpontot követően a következő időpontig ideiglenes fogakat kell viselnie, hogy megvédje az immár érzékeny fogat, és elrejtse annak torz megjelenését.
Ezeket az ideiglenes fogakat nem a fogtechnikai laboratórium készíti méretre, és előfordulhat, hogy nem illeszkednek az Ön mosolyához. Ez az oka annak, hogy sok páciens elégedetlen az ideiglenes furnérok kinézetével és tapintásával.

Miben különbözik a Lumineers furnér?
A Lumineers fogászati furnérok porcelánból készülnek, amely kivételes szilárdságáról ismert. Annak ellenére, hogy a Lumineers sokkal vékonyabb, mint a porcelán foghomlokkeretek, kisebb a törés vagy a lepattanás valószínűsége. Ráadásul a porcelán színe megváltoztatható és kiegyensúlyozható. Ez azt jelenti, hogy különböző szintű opacitás és áttetszőség érhető el.
Ráadásul a Lumineers foghomlokzati burkolatok felhelyezése azért is olyan egyszerű, mert előzetesen kevés vésést kell készíteni. A porcelánfurnérok esetében előfordulhat, hogy a fogakat véglegesen módosítani kell vagy meg kell fúrni a lehető legjobb illeszkedés érdekében.
A Dental Lumineers azonban gyönyörű végterméket kínál fúrás, érzéstelenítés vagy kiterjedt maratás nélkül a törökországi fogászati klinikák felkeresésekor.
Ez önmagában is csaknem felére csökkentheti a fogorvosi székben eltöltött időt a hagyományos furnérokhoz képest, és magas színvonalú szolgáltatást nyújt a legjobb mosolytervezés elérése érdekében.

Az első látogatás során a fogorvos harapáslenyomatot és röntgenfelvételeket készíthet, hogy pontosan meghatározhassa, hogyan illeszkednek egymáshoz a fogak. A harapáslenyomatokat elküldik a laboratóriumba, hogy az Ön Lumineer fogai méretre készülhessenek.
A fogorvos gondosan megvizsgálja a fogakat is, hogy megbizonyosodjon arról, hogy nincs-e fogszuvasodás vagy ínybetegség jele. A fogorvossal és csapatával együtt kiválasztja a Lumineers színét (esetleg a frissen fehérített fogakhoz igazodva), és megbeszéli a kívánt átlátszósági szintet.
A Lumineereket a második találkozáskor ragasztják a fogakra. Miután a Lumineerek a helyükre kerültek, a fogorvos gondosan kifényesíti őket, amíg teljesen simák nem lesznek. Ennek a simításnak az az előnye, hogy a baktériumok és a festékanyagok nem tudnak könnyen megtapadni a Lumineers felszínén.
Végül a Lumineereket leválasztják. Eddig a pontig még mindig ott vannak rögzítve, ahol az okkluzális lenyomatok alapján a fogak természetes módon találkoznak. A kezelés befejeződött, gyönyörű fehér mosolyt és tökéletes, egészséges fogakat hagyva maga után.

Kockázatok, szövődmények és mellékhatások
A Lumineers foghomlokzati burkolatokkal kapcsolatban ritka kockázatok merülnek fel:
- Fogérzékenység ;
- Színbeli következetlenségek;
- Ínygyulladás;
- Ínyirritáció;
- A furnérok helytelen elhelyezése;
- Színkülönbségek az Ön fogai és a furnérok között.
Ezért bízzon bennünk, hogy segítünk kiválasztani a megfelelő sebészt Isztambulban, és válasszon egy jó hírű és tapasztalt szakembert.
Ráadásul ez a műtét az iszlámban megengedett. Ez halal műtét, nem haram, mert orvosi előnyt nyújt, és javítja az ember életminőségét.
Mennyi ideig tart?
A Lumineers a progresszív furnérok egy fajtája, amely gyors és fájdalommentes hollywoodi mosolyt biztosít. A lumineerek erősek és tartósak, akárcsak a természetes fogak.
Sok páciens azért részesíti előnyben a Lumineers-t a hagyományos furnérokkal szemben, mert a Lumineers alig vagy egyáltalán nem igényel előkészítést. A Lumineers foghomlokzatokat úgy tervezték, hogy jó szájhigiénia és ápolás mellett 10 és 20 év közötti élettartamot biztosítsanak.
Ez napi kétszeri fogmosást, napi fogselyem használatát és rendszeres ellenőrzéseket jelent a törökországi fogászati klinikákon. Ez biztosítja, hogy fogai és ínye jó egészségnek örvendjenek, így mosolya hosszú éveken át megmarad.
Ezekben az években a fogászati kezeléseket gond nélkül elvégezheti a Lumineers esetében. Emellett 5 év garanciát is adnak rájuk, és ingyenesen cserélhetők. További részletekről érdeklődjön fogorvosánál, mivel bizonyos korlátozások érvényesek.
Mennyibe kerül a Lumineers foghomlokzat burkolása?
A törökországi Lumineers foghomlokzati burkolatok költsége a fogászati klinikától és a bevonandó fogak számától függően változhat. A törökországi Lumineers fogászati kezelés ára egy fogra vonatkozóan azonban általában 350 és 500 euró között van.

Alkalmazható-e a Lumineers foghéjhéj más foghéjhéjra?
Ha a furnér leválik vagy megsérül, a pácienseknek nem szabad megpróbálniuk saját maguknak a javítást. Vegye fel velünk a kapcsolatot, hogy időpontot kérjen.
Tartsa biztonságban a restaurációt, amíg be nem tud jönni, hogy a fogorvos felmérhesse a problémát és meghatározhassa a legjobb eljárást. Lehet, hogy képes lesz megjavítani a világos furnérokat, vagy kicserélni azokat, ha elegendő sérülés történt. A fogászati kezelést átadja a páciensnek, és a fogászati klinikán fájdalommentesen megkezdheti a konzultációt.
Kiknek készültek a Lumineerek?
A Lumineers foghomlokzati burkolatok bárkinek alkalmasak lehetnek, aki fájdalommentes mosolyra vágyik. Ötből négy visszahívható páciensből négy a Lumineers jelöltje. A fogászati Lumineers a legnagyobb lépés a páciensek által kívánt mosoly elérése felé.
Ezek a kontaktlencse formájú “mosolyformázók” olyan vékonyak, mégis olyan erősek, hogy nem kell eltávolítani az érzékeny fogszerkezetet, nincs szükség érzéstelenítésre, nincs szükség ideiglenes fogsorra, és ezért nincs fájdalom. Bármi legyen is a páciens mosolyproblémája, a Lumineers tökéletes megoldás.
A tinédzserek és az óvodáskorúak számára is előnyös lehet a Lumineers, és mielőtt a törökországi fogászati klinikán elkészülne a kezelési terv, a fogorvos egy röntgenfelvételt készít a páciensről, csupán a szokásos ellenőrzés céljából. A HIV-fertőzött betegek is jogosultak.
Ezenkívül biztosítjuk, hogy a mozgáskorlátozottak (PRM) könnyen hozzáférjenek létesítményünk minden területéhez.
Mennyibe kerül a Lumineers foghomlokzat burkolása?
Törökországban egy Lumineers foghomlokzatburkolat átlagos költsége 390 euró, minimum 180 euró, maximum 390 euró. Isztambulban az árak mindig egy kicsit drágábbak, mint Ankarában, Antalyában vagy Izmirben. Ez az ár a felszerelendő furnérok számától és a fogorvos hírnevétől függően változik.
Ha nehezen dönt, mi segítünk Önnek, hogy a beavatkozás sikeres legyen, ráadásul kedvezményes áron.
Vegye igénybe az INGYENES értékelést!
Kérésre és
az Ön részéről semmilyen kötelezettség nélkül.
100% ingyenes tanácsadás. Elemezzük az Ön helyzetét, igényeit és elvárásait. És megbecsüljük a szükséges költségvetést: Repülés + szálloda + taxi + kezelés.
A folyamat felett mindenkor teljes mértékben Ön rendelkezik. Teljes lelki nyugalom.
Gyakran ismételt kérdések
Mennyi ideig tartanak a Lumineers furnérok?
A Lumineers foghomlokzati burkolatok különösen tartósak. Aprólékos gyártási eljárásuknak köszönhetően több mint 20 évig is eltarthatnak. Megfelelő gondoskodással hosszú éveken át élvezheti ragyogó mosolyát.
Van korhatár a Lumineers furnérok esetében?
Nem, a Lumineers foghomlokzati burkolatok bármely életkorban felhelyezhetők. Fiatal és idős páciensek sérült, kopott vagy elszíneződött fogait egyaránt korrigálhatják. Még a meglévő műfogsorok fölé is felszerelhetők, hogy korrigálják azok megjelenését.
Garantált a Lumineers foghomlokzat Törökországban?
A Lumineers foghomlokzatra a felhelyezés napjától számított 5 év garancia vonatkozik, bárhol a világon. Ha probléma merül fel, az főként ebben az időszakban fordul elő. Ez azonban nagyon ritka, és a legtöbb Lumineers foghomlokzat több mint 20 évig bírja gond nélkül.
A Lumineers foghomlokzatok korrigálhatják a boldogtalan fogakat?
Igen, a Lumineers foghomlokzati burkolatok felszerelhetők két fog közötti rés elfedésére vagy csökkentésére, beleértve a “boldog fogak” közötti teret is. A páciens olyan mosolyt kap vissza, amellyel teljesen elégedett, anélkül, hogy időigényes fogszabályozásra lenne szüksége.
Melyik a legolcsóbb ország a foghomlokzati burkolatok tekintetében?
A legjobb árak kihasználása érdekében érdemes külföldön felhelyeztetni a fogászati furnérokat. Magyarország a fogászati turizmus egyik vezető országa, alacsony árakkal és kiváló minőséggel. Románia és Törökország szintén kiváló, olcsó szolgáltatásokat kínál a fogászati furnérok és koronák terén.





