A LegjobbKlinika.com tájékoztatást nyújt a törökországi Emax furnérokról, és segít lefoglalni egy műtétet képzett török sebészeknél. Ez a tartalom kizárólag tájékoztató jellegű, és nem helyettesíti az orvosi szakember tanácsát.
- Mennyibe kerül egy Emax furnér Törökországban?
- Mi az az Emax fogászati burkolat?
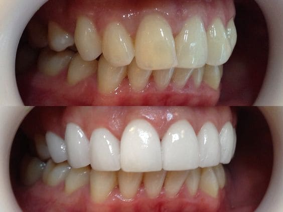
- Előtte és utána képek
- Kik a legjobb jelöltek?
- Az eljárás
- Kockázatok, szövődmények és mellékhatások
- A törökországi Emax foghomlokzati burkolatok után betartandó óvintézkedések
- Mennyibe kerül egy Emax fogászati burkolat Törökországban?
- Gyakran ismételt kérdések
Mennyibe kerül egy Emax furnér Törökországban?
Egy Emax furnér átlagos költsége Törökországban 230 euró. A fogorvos érzésteleníti a fogakat. A kezelés 6 napig tart. Az isztambuli tartózkodás időtartama 8 nap. Az ár a fogorvos szakértelmétől, a felhelyezendő furnérok számától és a páciens állkapocsméretétől függően változik. A végeredmény azonnal látható.
| Cirkónium-dioxid foghomlokzat | 180 € |
| Kerámia foghomlokzat | 200 € |
| Emax foghomlokzat | 230 € |
| Lumineers fogászati burkolat | 390 € |
A hollywoodi mosoly nagy divat volt az elmúlt években! De… A tökéletes fogazathoz jól felszerelt pénztárca kell, főleg Európában. Ön is profitálhat az új generációs fogászati ellátásból versenyképes áron! Fedezze fel az Emax fogászati héjakat Türkiye városában!
Mi az az Emax fogászati burkolat?
Az Emax kezelést az Empress cég alkotta meg, és a Maximum Empress rövidítése. Az Emax foghéj egy megerősített porcelánból készült pellikuláris foghéj. Ez egy égetett és préselt kerámia.

Az Emax fogpótlások többféle árnyalatban kaphatók. Minden Emax foghomlokzat áttetsző és természetes megjelenésű. Ezenkívül a törökországi Emax foghomlokzat olyan anyagot használ, amely nagy ellenállóképességet és hosszú élettartamot biztosít.
Előtte és utána képek
Kik a legjobb jelöltek?
A törökországi Emax fogászati burkolat előnyeinek kihasználásához normális fogazattal kell rendelkeznie , anélkül, hogy :
- Sérült fogak,
- Elszíneződött vagy elszíneződött fogak,
- Törött fogak,
- Régi koronák, amelyek cserére szorulnak..
Fontos megjegyzés: Emax foghéj nem helyezhető el szuvas fogra vagy hiányzó fog helyére.
Az Emax furnér előnyei: Ez az anyag teljes egészében porcelánból készül, és nincs fémhátlapja. Alkalmas a fémre allergiások számára.

Azoknak is alkalmas, akik nem szeretik a hagyományos korona behúzásakor az ínyen megjelenő szürke vonalat . Ez az eljárás férfiak és nők számára egyaránt alkalmas.
Az eljárás
A becslést fogorvosunk diagnózisa alapján készítjük el, miután áttanulmányoztuk az Ön egészségügyi aktáját. Ezután Törökországba érkezve a fogorvos klinikai vizsgálatot végez az Ön fogazata alapján, hogy megerősítse, hogy Ön alkalmas a törökországi foghomlokzatra.
HIV-fertőzött? Egy speciális klinikát különítettünk el az Ön számára, ahol az Emax foghomlokzatokat az Ön és a személyzet teljes biztonsága mellett helyezhetik el.
A felszerelés előtt
Előzetes diagnózis távolról is elvégezhető, különösen azért, hogy árajánlatot adhassunk Önnek az Ön által kívánt foghomlokzatok száma alapján. A törökországi Emax fogpótlások felhelyezése előtt azonban elengedhetetlen a személyes konzultáció.
A török fogászati rendelőben végzett klinikai vizsgálatnak köszönhetően a sebész meggyőződhet arról, hogy fogai jó egészségi állapotban vannak.

A beillesztés napja
Az Emax fogpótlásokat Törökországban egy csúcstechnológiás fogászati rendelőben készítik el személyre szabottan. A kezelés 2 vagy 3 ülésben történik egyetlen hét alatt. Az eljárás 4 szakaszban történik:
1- A leendő mosoly modellezése
Ehhez a kozmetikus fogorvos fényképeket készít az Ön fogairól. Ezután méréseket végez. Ezután egy szájpadot helyez be az Ön szájába, hogy megformázza a fogait.
2- Érzéstelenítő injekció beadása
AzEmax foghéjakat Törökországban helyi érzéstelenítésben helyezik fel. Az érzéstelenítéssel 2 mm vastagságúra üregesítik a fogakat, ahová a furnérokat helyezik.
3- Új méretek felvétele
Miután a fogakat kivájták, a fogorvos újra megméri azokat. Ezután felragasztják az ideiglenes furnérokat. Csak annyi ideig, amíg a végleges furnérok elkészülnek.

4- A végleges Emax-furnérok felhelyezése
Nincs szükség a fogak megmunkálására, mint egy korona vagy bármely más hagyományos furnér esetében. A végleges Emax furnérokat a laboratóriumban készítik el.
Amint elkészülnek (néhány nappal az öntés után). Ön visszatér a rendelőbe egy kezelésre, hogy az Emax furnérokat véglegesen felhelyezzék Törökországban.
Az eljárás általában 35 perc és 4 óra között tarthat. Ez a megrendelt furnérok számától függ. Ráadásul egy Emax foghomlokzat 10 és 15 év közötti ideig tart, feltéve, hogy Ön megfelelő szájhigiéniát tart fenn.
Beillesztés után
AzEmax fogpótlás Isztambulban történő felszerelése után már ehet. Valószínűleg azonban enyhe kellemetlenséget fog érezni. Ez néhány napig tart, amíg megszokja az új száját.
Két nappal a műtét után orvosi ellenőrzésen vesz részt fogorvosával. Ha minden rendben megy, hazatérhet, és követheti az orvos ajánlásait, hogy a furnérok jó állapotban maradjanak.

Kockázatok, szövődmények és mellékhatások
Az Emax foghomlokzati furnérok felhelyezése során néhány ritka kockázattal jár hat:
- Fogérzékenység ;
- Általános kellemetlen érzés ;
- Gyulladt íny ;
- A fogpép károsodásának fokozott kockázata;
- A különböző fogak közötti kontrasztos árnyalatok.
Ezért bízzon bennünk, hogy segítünk kiválasztani a megfelelő sebészt Isztambulban, és válasszon egy jó hírű és tapasztalt szakembert.
Ez a fajta műtét iszlám és törvényes. Ez halal műtét, nem haram, mert javítja azok életminőségét, akiknek szükségük van rá.
Intézkedéseket hoztunk annak érdekében, hogy a fogyatékkal élők is teljes mértékben kihasználhassák létesítményeinket.
A törökországi Emax foghomlokzati burkolatok után betartandó óvintézkedések
Az Emax egy olyan típusú foghomlokzat, amely ellenáll a kopásnak és a foltvisszatartásnak. Ez azonban nem jelenti azt, hogy nem kell vigyázni rá. Valójában az Emax foghomlokzat Törökországban történő felszerelése után ajánlott, hogy :
- Minden étkezés után mosson fogat puha fogkefével,
- Öblítse ki fogait szájvízzel,
- Minden este használjon fogselymet,
- Kerülje a kemény ételek rágását (a Maeva Ghennamhoz hasonlóan a fazetta elvesztésének veszélye miatt)
- Szabaduljon meg a rossz szokásoktól (körömrágás, tollhegyek rágása, fogak összeszorítása stb.)
- És rendszeresen végeztessen fogkőeltávolítást.

Végezetül, várjuk, hogy megszervezzük az isztambuli utazását, hogy alehető leggyorsabban és a lehető legjobb áron sportolhasson egy hollywoodi mosollyal. Kérjen ingyenes, személyre szabott árajánlatot most!
Mennyibe kerül egy Emax fogászati burkolat Törökországban?
Törökországban egy Emax fogászati burkolat 250 euróba kerül foganként az egyik legjobb fogászati klinikán. Európában egy Emax foghomlokzat burkolása 1200 euróba kerül. Ez az ár tartalmazza a műtét előtti konzultációt, a röntgent, a lenyomatot, a fogpótlást, az érzéstelenítést, a szállodai és repülőtéri transzfert.
Ha nehezen tud dönteni, mi segítünk, hogy a beavatkozás sikerrel járjon, ráadásul kedvezményes áron.
Vegye igénybe az INGYENES értékelést!
Kérésre és
az Ön részéről semmilyen kötelezettség nélkül.
100% ingyenes tanácsadás. Elemezzük az Ön helyzetét, igényeit és elvárásait. És megbecsüljük a szükséges költségvetést: Repülés + szálloda + taxi + kezelés.
A folyamat felett mindenkor teljes mértékben Ön rendelkezik. Teljes lelki nyugalom.
Gyakran ismételt kérdések
Hogyan öregszik az Emax fogászati burkolat Törökországban?
Az Emax foghomlokzati burkolatok nagyon népszerűek, mert jobban öregednek, mint a kompozit burkolatok. Az Emax fóliák 10-15 évig tartanak, és nem zsugorodnak. A rossz szájhigiénia azonban az Emax foghéjlemezek leválását vagy leesését okozhatja.
Kiválaszthatom az Emax furnérok formáját és színét Isztambulban?
Az Emax foghomlokzatok színét és formáját Ön választhatja meg Isztambulban. Az Emax furnérok többféle árnyalatban kaphatók, és a laboratóriumban a műtét előtti konzultáció során szoftver segítségével elkészített modell alapján készítik el őket.
Visszafordíthatóak-e az Emax fogászati burkolatok?
Nem, az Emax foghomlokzati burkolatok felhelyezése visszafordíthatatlan művelet. Mi több, ha a felhelyezés sikeres, akkor a következő 15 évben nyugodt lehet, feltéve, hogy megfelelő szájhigiéniát tart fenn. Ez a technika egyébként egy életen belül 1-2 alkalommal megismételhető.
Leeshetnek a furnérok?
Ritkán, de előfordulhat, hogy a foghéjlemezek leesnek. Ha mégis megtörténik, és ha a leesett furnér még ép, akkor az visszaragasztható. Ez meghosszabbítja az élettartamát. Azonban a leesett furnér újbóli felragasztása után még nagyobb gondossággal kell eljárni.
Károsíthatja-e a fogászati bevonat a fogakat?
Az Emax foghomlokzati burkolat szimmetrikus fogakat és káprázatosan fehér mosolyt biztosít. Ennek az eredménynek az eléréséhez néhány milliméternyi zománcot kell eltávolítani, hogy a furnérokat beilleszthessék. De megnyugodhat, ez az eljárás nem károsítja a fogait.
Fájdalmas-e az Emax foghomlokzat felhelyezése?
Nem, nem fog fájdalmat érezni a művelet során. Az Emax foghomlokzati burkolatok felhelyezése ugyanis helyi érzéstelenítésben történik. Az egyetlen hátránya, hogy az eljárás visszafordíthatatlan. Az eredmény azonban általában megfelel a páciensek elvárásainak.




